甲亢早期症状图(5)

发布时间:2018-06-13   来源:健康网    
字号:

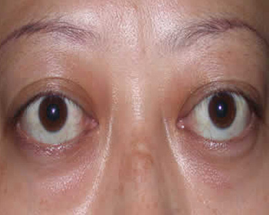
甲亢早期症状图

多发人群有遗传性肾癌家族史者;中年以上的吸烟、酗酒、患高血压的“胖”男人。疾病症状多年来,把血尿、疼痛和肿块称为肾癌的“三联征”,其实大多数病人就诊时三联征俱全者仅占10%左右,很少有可能治愈。所以全面了解肾癌的一些常见的临床表现显得非常必要。

图说天下

×
织梦二维码生成器